CT検査
(Computed Tomography )
CT検査とは
コンピュータ断層撮影のことで、人の体の輪切り画像を撮影します。全身を撮影することができ、一般のレントゲン検査では分からない詳細な情報を得ることが出来ます。CT検査にはX線が使われるため、撮影する部位や手法によって量は異なりますが、被曝します。大量の放射線に被曝してしまった場合、がんのリスク(危険度)が高くなりますが、CT検査のような少量の放射線によるがんについては関係性が明らかにはされていません。当院のCTでは、少ない線量(被曝量)での撮影と詳細で情報量の多い画像を得ることが可能となっております。
撮影した画像については、病変の見逃し等を防ぐため、日本医学放射線学会認定の放射線診断専門医と検討した上で後日結果の説明をさせていただきます。

まず機械の上に横になっていただきます。自動でトンネル状になったCT装置の中を通過し撮影を行います。
撮影時間は10秒〜20秒ほどになります。

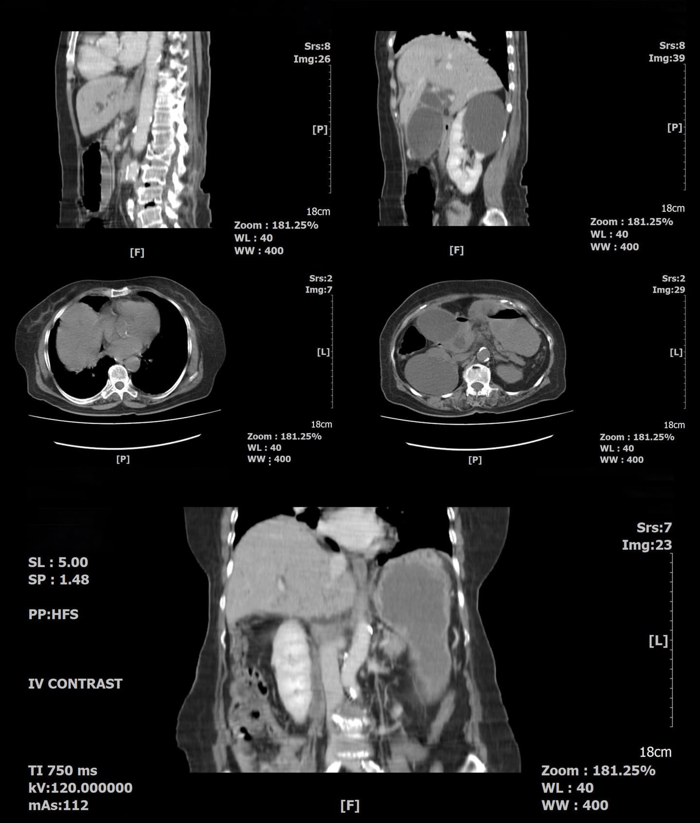
実際に撮影したCT画像です。各臓器が細かく写るので、詳細な情報を得ることができます。